GE HealthCare
Mindray
Draeger
Samsung
Energist
AMI
Korust
Siemens
Philips
GE HealthCare
Mindray
Draeger
Samsung
Energist
AMI
Korust
Siemens
Philips
GE HealthCare
Mindray
Draeger
Samsung
Energist
AMI
Korust
Siemens
Philips
GE HealthCare
Mindray
Draeger
Samsung
Energist
AMI
Korust
Siemens
Philips
GE HealthCare
Mindray
Draeger
Samsung
Energist
AMI
Korust
Siemens
Philips
GE HealthCare
Mindray
Draeger
Samsung
Energist
AMI
Korust
Siemens
Philips
GE HealthCare
Mindray
Draeger
Samsung
Energist
AMI
Korust
Siemens
Philips
Согласно последним данным, для обследования пациентов с COVID-19 возможно использование ультразвука. Само обследование и интерпретация полученных данных производится всего за несколько минут в любом медицинском учреждении, а методика может быть освоена за относительно короткое время. Поскольку УЗИ лёгких пока относится к развивающимся методам диагностики, большинство авторов выступает за умеренный, консервативный подход к применению ультразвука в пульмонологии, однако, учитывая опасность и распространённость заболевания, использование данного метода приобретает всё большую ценность. В условиях пандемии его значение трудно переоценить.
У подобного метода есть целый перечень преимуществ, таких как: снижение контактирования медицинских работников с зараженными пациентами, возможность частого повтора во время наблюдения, низкая стоимость и простота применения в условиях ограниченности ресурсов.
Главными показаниями к проведению УЗИ легких у пациентов с COVID-19 являются определение степени тяжести поражения, отслеживание динамики состояния, а также оценка эффективности терапии. Важно понимать, что данное исследование не применяется для первоначальной постановки диагноза, а также в случае, если пациент находится в стабильном состоянии и его планируют выписывать в ближайшее время. Также нельзя забывать, что риск заражения пациента, Вас и Ваших коллег COVID-19 чрезвычайно высок, поэтому, собираясь выполнять УЗИ легких, убедитесь, что исследование обусловлено необходимостью мониторинга состояния или коррекции проводимой терапии у пациента с COVID-19.
Наиболее предпочтительными являются конвексный (микроконвексный) и секторный фазированный датчики. Также может быть использован линейный датчик для детального анализа состояния плевры, однако, он менее предпочтителен из-за небольшой глубины проникновения ультразвука.
Установите на УЗИ сканере режим «Lung» – «Легкие» (или «Abdomen», если режим «Легкие» отсутствует).
В зависимости от тяжести состояния, пациент во время обследования может находиться в положении сидя, лежа на боку, на спине или на животе. Оптимально проводить сканирование у пациентов в положении сидя или лежа на боку. К сожалению, большинство пациентов в тяжелом и крайне тяжелом состоянии, находясь на искусственной вентиляции лёгких, не могут занять такое положение. В подобных случаях вынужденной позицией для сканирования будет положение пациента на спине с отведенными в стороны руками (А). Очевидно, что при таком положении доступ к легочным полям со стороны спины невозможен. Чтобы получить доступ к области под лопаткой, следует перевернуть пациента на бок, используя для фиксации подушку или одеяло (С).

Наоборот, при положении пациента на животе у Вас возникнут трудности с доступом к полям легких спереди. Существует позиция под названием «положение пловца», которую используют для доступа к передней части грудной клетки путем отведения руки пациента и подъема его плеча с помощью подушки.

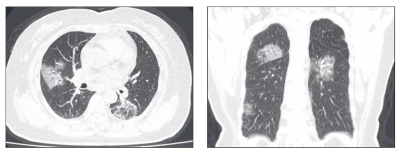
Для большинства патологий достаточно выполнения ультразвукового исследования легких в 6 зонах, описанного Д. Лихтенштейном (известное как Blue Protocol), или исследования легких по 8 точкам, описанного Дж. Вольпичелли. Однако анализ КТ-сканов у пациентов с COVID-19 показывает, что повреждения при этом заболевании являются мультифокальными и могут локализоваться в любой части легкого.

Выполняя ультразвуковое исследование легких в 6 зонах, велика вероятность пропустить патологию у пациента с COVID-19. Ультразвуковое обследование легких в 12 зонах повышает чувствительность к обнаружению поражений органа при COVID-19. Данный протокол был предложен итальянскими и китайскими специалистами (Buensenso, 2020 и Peng, 2020).
В зависимости от состояния пациента, некоторые области легких могут быть недоступны для УЗИ. Постарайтесь получить доступ к наибольшему числу зон , чтобы повысить точность исследования.
Китайской группой по УЗИ для интенсивной терапии (CCUSG) был просуммирован ранний опыт ультразвукового исследования легких для оценки инфекции SARS-CoV-2 в Китае с целью предупреждения передовых специалистов отделений интенсивной терапии об использовании ультразвукового исследования легких для лечения COVID-19. Было произведено УЗИ легких на 20 пациентах с COVID-19, используя 12-зонный метод.
Характерные выводы включают следующее:
Наблюдаемые паттерны происходили в промежутке от легкого альвеолярного интерстициального паттерна до тяжелого двустороннего интерстициального паттерна и консолидации легких. В таблице 1 приведены типичные результаты УЗИ легких у пациентов с респираторным заболеванием COVID-19 в сравнении с данными КТ грудной клетки.

Ниже представлен ряд изображений патологических изменений, которые Вы можете увидеть при УЗИ легких пациентов с COVID-19. Эти изменения можно найти в любой части легкого, поскольку COVID-19 имеет мультифокальное распределение. Возможно сочетание областей нормального легкого и области с патологией. Патологические изменения легких могут отсутствовать в начале заболевания и при легком течении COVID-19, однако, по мере его прогрессирования, Вы можете наблюдать всё больше патологических изменений.
Ниже приведены примеры УЗ-картины легких пациентов с COVID-19.

Нормальное легкое (здоровый пациент)

Множественные В-линии (вертикальные белые линии)
Конфлюентные (сливающиеся) В-линии



Зотов Константин, генеральный директор МСТ